Table of Contents
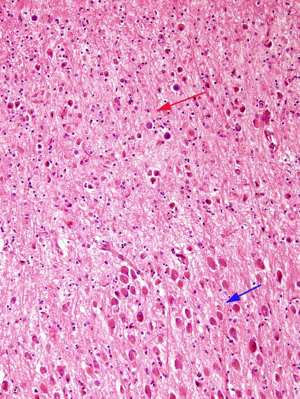
Washington University Experience | BASIC PROCESSES | Transneuronal Degeneration | 2A3 Transneuronal degeneration (LGN) (Case 2) layers 5&6 top H&E 1
Successive images show the pattern of atrophy at progressively higher magnifications (H&E). H&E stain demonstrates difference in size and numbers of neurons between layer 5 (blue arrow) and layer 6 (red arrow),
