Table of Contents
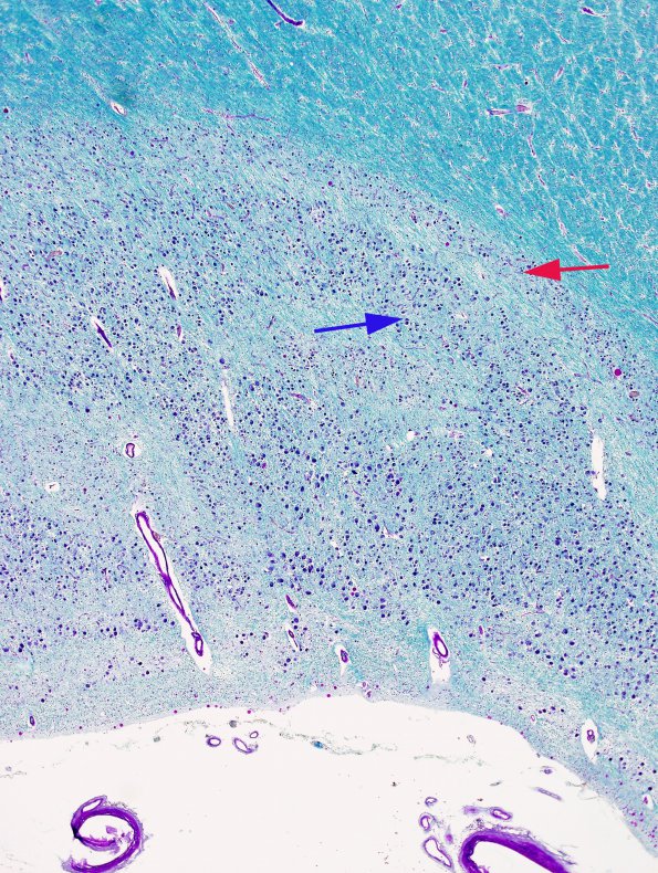
Washington University Experience | BASIC PROCESSES | Transneuronal Degeneration | 2B2 Transneuronal degeneration (LGN) (Case 2) layers 1-6 LFB-PAS 1
Laminae of neurons are separated by layers of white matter and, as a result, use of LFB-PAS stain better shows the laminae seen in two areas of the LGN. Neurons at the red arrow are atrophic and those in the blue arrow area are better preserved in size and number (LFB-PAS).
