Table of Contents
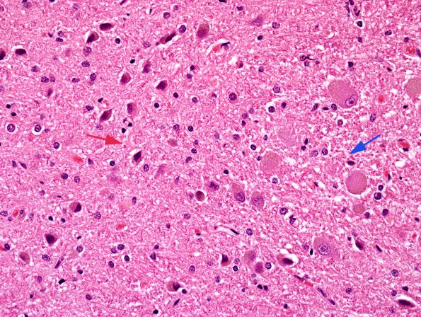
Washington University Experience | BASIC PROCESSES | Transneuronal Degeneration | 3B4 Transneuronal Degeneration, patchy, LGN (Case 4), childhood eye injury partial (H&E) 6
There is patchy loss of neurons in one region (red arrow) compared to the preserved neurons in the same lamina (blue arrow). (H&E)
