Table of Contents
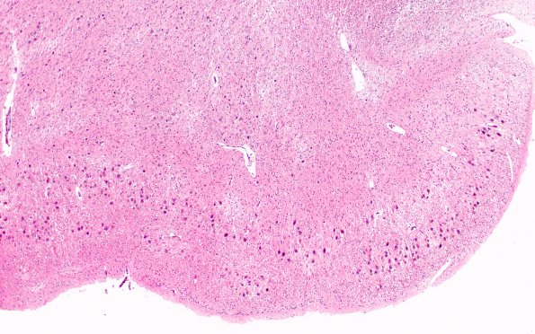
Washington University Experience | BASIC PROCESSES | Transneuronal Degeneration | 5B2 LGN, left, transneuronal degeneration, orthograde (Case 5) N3 4
Higher magnification of the LGN of image #5A1 with wholesale neuron loss of layers 3-6 and scattered residual magnocellular neurons. (H&E)
