Table of Contents
Washington University Experience | DEVELOPMENTAL MALFORMATIONS | Agyria & Pachygyria | 1C2 Pachygyria (Case 1) H&E 15
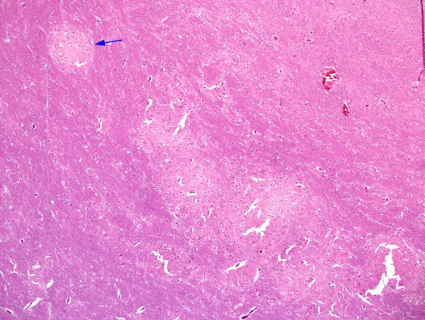
The heterotopia designated with an arrow in this image is seen at higher magnification in the next image (#1C3) and demonstrates disorganized neurons and glia.
