Table of Contents
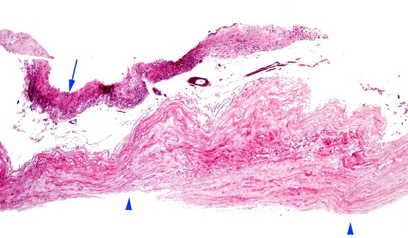
Washington University Experience | DEVELOPMENTAL MALFORMATIONS | Cyst - Arachnoid | 11B1-Cyst-arachnoid-Case-11-H-E-1-copy.jpg
The arachnoid cyst does not communicate with the right lateral ventricle which is expanded, likely the result of ex vacuo change.
