Table of Contents
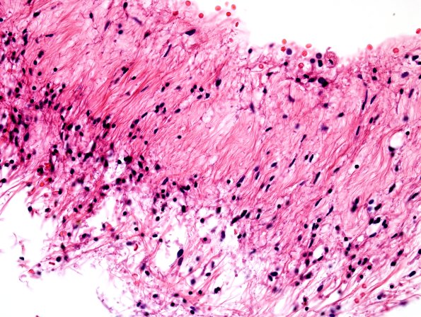
Washington University Experience | DEVELOPMENTAL MALFORMATIONS | Cyst - Arachnoid | 11B3-Cyst-arachnoid-Case-11-H-E-3.jpg
Higher magnification images of the residual brain tissue taken from the area marked with an arrow in image #11B1. (H&E)
