Table of Contents
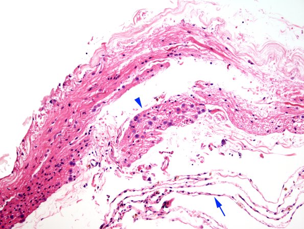
Washington University Experience | DEVELOPMENTAL MALFORMATIONS | Cyst - Arachnoid | 11B4-Cyst-arachnoid-Case-11-H-E-4-copy.jpg
In this area of the cyst wall there are residual arachnoid layers (arrow). Note also the fragments of gliotic brain tissue, one area with numerous corpora amylacea (arrowhead). (H&E)
