Table of Contents
« prev
next »
Washington University Experience
|
DEVELOPMENTAL MALFORMATIONS
|
Empty sella syndrome
|
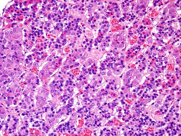
1D3 Empty Sella Syndrome (Case 1) Crooke's change H&E 1.jpg
Additional image of the compressed pituitary (H&E).
Image Info
Camera Maker:
Olympus Corporation
Camera Model:
DP70
Original Time Taken:
30-06-2016
Shutter Speed:
1/265 sec
ISO Sensitivity:
200
Metering Mode:
Spot
Gallery RSS
|
Archive View
|
Login
|
Powered by
Zenphoto