Table of Contents
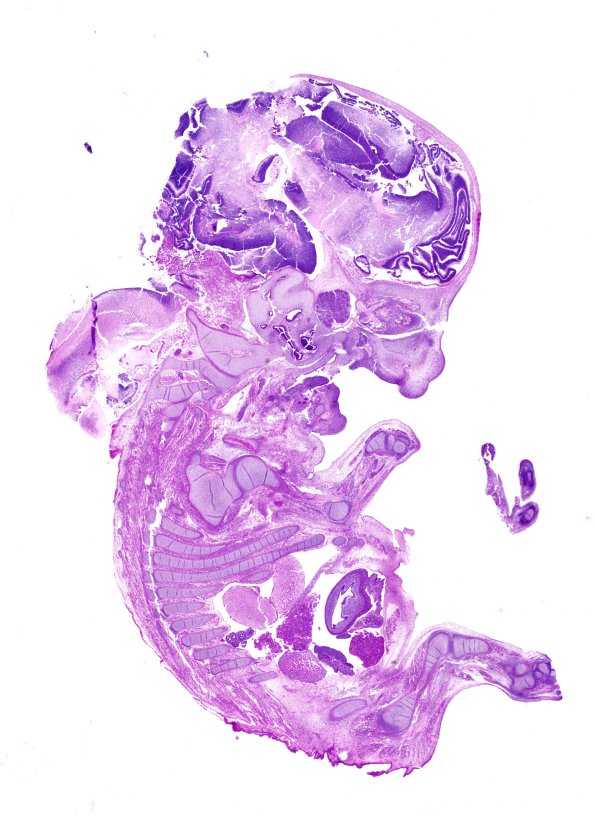
Washington University Experience | DEVELOPMENTAL MALFORMATIONS | Encephalocele | 1B1 Myelomeningocele (Case 1) H&E WM
1B1,2 A sagittal histologic section shows the encephalocele which contains intracranial contents. The site of origin of the encephalocele appears to represent the junction of the cranium and vertebral column. (H&E)
