Table of Contents
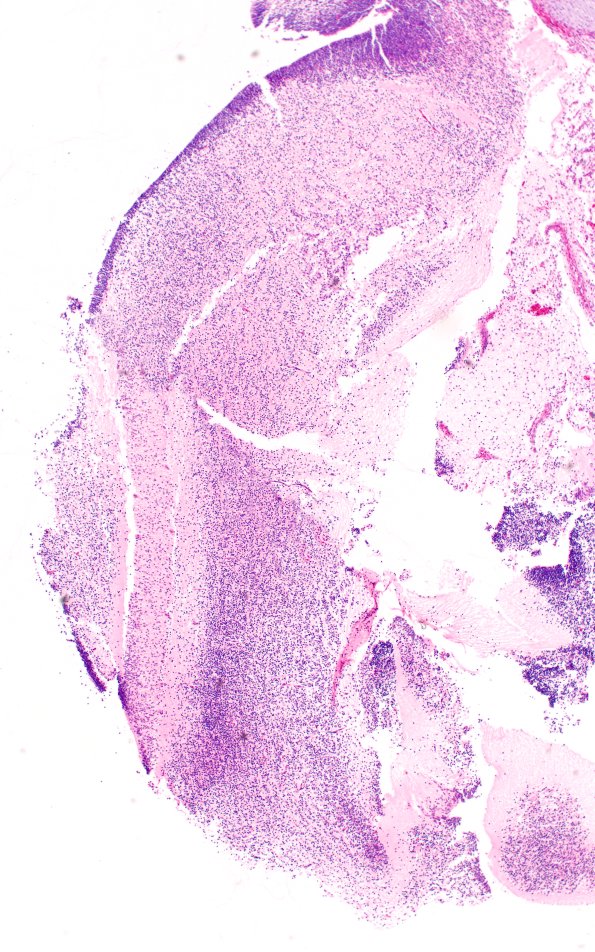
Washington University Experience | DEVELOPMENTAL MALFORMATIONS | Encephalocele | 1B3 Myelomeningocele (Case 1) H&E 4X 2
A closeup of the encephalocele contents. There are patches of embryonal elements which are largely intact. (H&E)
