Table of Contents



Washington University Experience | DEVELOPMENTAL MALFORMATIONS | Encephalocele | 21C3 Encephalocoele (Case 21) GFAP 2

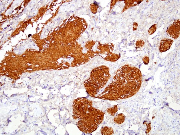
21C3 Encephalocoele (Case 21) GFAP 2
Glial cells are prominent in the specimen as demonstrated by GFAP immunohistolocalization. (GFAP IHC)


Gallery RSS RSS Feed | Archive View | Login | Powered by Zenphoto