Table of Contents
« prev
next »
Washington University Experience
|
DEVELOPMENTAL MALFORMATIONS
|
Encephalocele
|
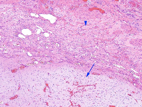
29D3-Encephalocoele-Case-29-A8-H-E-2-copy.jpg
The subcutaneous lesion contains neuronal (arrow) and glial (arrowhead) components. (H&E)
Image Info
Camera Maker:
Olympus Corporation
Camera Model:
DP70
Original Time Taken:
16-02-2013
Shutter Speed:
1/254 sec
ISO Sensitivity:
200
Metering Mode:
Spot
Gallery RSS
|
Archive View
|
Login
|
Powered by
Zenphoto