Table of Contents
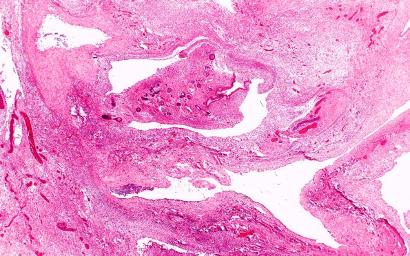
Washington University Experience | DEVELOPMENTAL MALFORMATIONS | Encephalocele | 30B2 (Case 30) _2X EMH A
There is also atrophic tissue located centrally in the mass with invaginated skin and hair follicles but no glioneuronal tissue was demonstrated, although GFAP immunohistochemistry would have facilitated its identification. (H&E)
