Table of Contents
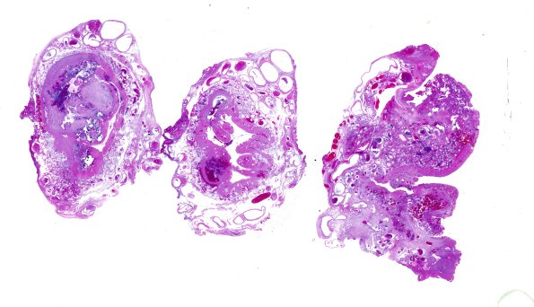
Washington University Experience | DEVELOPMENTAL MALFORMATIONS | Encephalocele | 5C1 Encephalocoele (Case 5) H&E whole mount
A whole mount of the neurosurgical specimen shows a variegated appearance with prominent vasculature. Microscopic evaluation of the right parietal encephalocele shows focally ulcerated but otherwise unremarkable skin overlying a loose, edematous subcutis with a patchy chronic inflammatory cell infiltrate and open, sinus-like vessels. Deep to the edematous stroma, supporting the internal surface of the encephalocele, is a membranous layer that also contains ectatic sinus-like vessels, The brain tissue comprises ~40% of the stalk material, but <10% of the overall encephalocele. (H&E)
