Table of Contents



Washington University Experience | DEVELOPMENTAL MALFORMATIONS | Encephalocele | 5C4 Encephalocoele (Case 5) H&E 3

5C4 Encephalocoele (Case 5) H&E 3
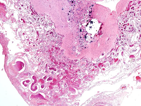
5C4,5 Patches of calcifications are prominent. (H&E)


Gallery RSS RSS Feed | Archive View | Login | Powered by Zenphoto