Table of Contents
Washington University Experience | DEVELOPMENTAL MALFORMATIONS | Encephalocele | 7A2 Encephalocele (Case 7) H&E 1A
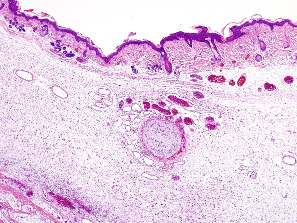
Sections of both the "inferior" and "superior" occipital lesions show hair bearing skin with foci of ectopic neural tissue with an associated complex vascular network particularly evident. (H&E)
