Table of Contents
Washington University Experience | DEVELOPMENTAL MALFORMATIONS | Encephalocele | 8A Encephalocoele (Case 8) T2 - Copy
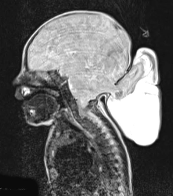
Case 8 History ---- The patient is a four day old female with an antenatal diagnosis of an occipital encephalocele. Operative procedure: Repair of occipital encephalocele. ---- 8A1-3 The encephalocele appears to contain a complement of solid brain tissue.
