Table of Contents
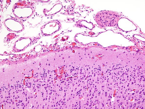
Washington University Experience | DEVELOPMENTAL MALFORMATIONS | Encephalocele | 8C4 Encephalocoele (Case 8) H&E 7
In some areas there are glioneuronal heterotopias in the leptomeninges as well as subcutaneous glial heterotopic islands. (H&E)
