Table of Contents
Washington University Experience | DEVELOPMENTAL MALFORMATIONS | Encephalocele - Nasal Glioma | 6A1 CT (Case 6) 5 copy
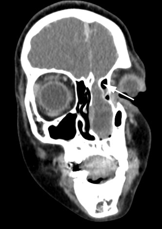
6A1,2 These coronal CT scans show a defect in the cribriform plate (arrow, 6A1) and extension of gyrus rectus tissue into the left nasal cavity.
