Table of Contents
« prev
next »
Washington University Experience
|
DEVELOPMENTAL MALFORMATIONS
|
Encephalocele - Nasal Glioma
|
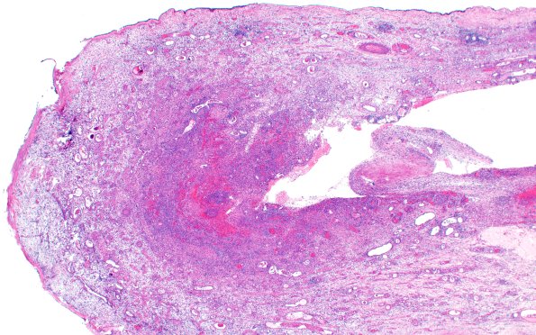
6B2 Nasal glioma (Case 6) H&E 2X
The surgical specimen as a whole mount with a discrete border and variegated content. (H&E)
Image Info
Camera Maker:
Olympus
Camera Model:
DP74
Shutter Speed:
31/100000 sec
Metering Mode:
Multi-Spot
Gallery RSS
|
Archive View
|
Login
|
Powered by
Zenphoto