Table of Contents
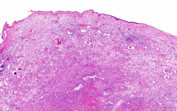
Washington University Experience | DEVELOPMENTAL MALFORMATIONS | Encephalocele - Nasal Glioma | 6B3Nasal glioma (Case 6) H&E 4X 2
6B3 There is a mostly intact epithelial lining to the surface of the mass surrounding a spongy aggregate of small vessels, inflammation and glioneuronal tissue. (H&E)
