Table of Contents
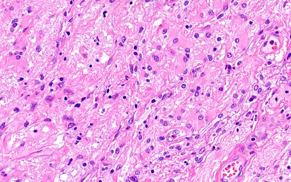
Washington University Experience | DEVELOPMENTAL MALFORMATIONS | Encephalocele - Nasal Glioma | 6B5Nasal glioma (Case 6) H&E 40X 2
Numerous glial cells with reactive glassy cytoplasm percolate between fibrous tissue and vessels. (H&E)
