Table of Contents
« prev
next »
Washington University Experience
|
DEVELOPMENTAL MALFORMATIONS
|
Encephalocele - Nasal Glioma
|
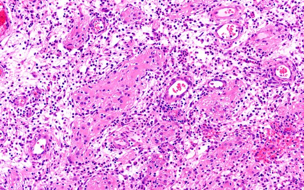
6B6 Nasal glioma (Case 6) H&E 20X
6B6,7 Islands of reactive glial cells are surrounded by PMNs. (H&E)
Image Info
Camera Maker:
Olympus
Camera Model:
DP74
Shutter Speed:
3/2000 sec
Metering Mode:
Multi-Spot
Gallery RSS
|
Archive View
|
Login
|
Powered by
Zenphoto