Table of Contents
« prev
next »
Washington University Experience
|
DEVELOPMENTAL MALFORMATIONS
|
Encephalocele - Nasal Glioma
|
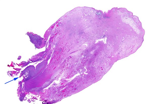
6C1Nasal Glioma (Case 6) A1 H&E WM copy
This section shows large areas of necrosis (arrow) with numerous PMNs. (H&E)
Image Info
Camera Maker:
Nikon
Camera Model:
LS-50
Gallery RSS
|
Archive View
|
Login
|
Powered by
Zenphoto