Table of Contents
« prev
next »
Washington University Experience
|
DEVELOPMENTAL MALFORMATIONS
|
Encephalocele - Nasal Glioma
|
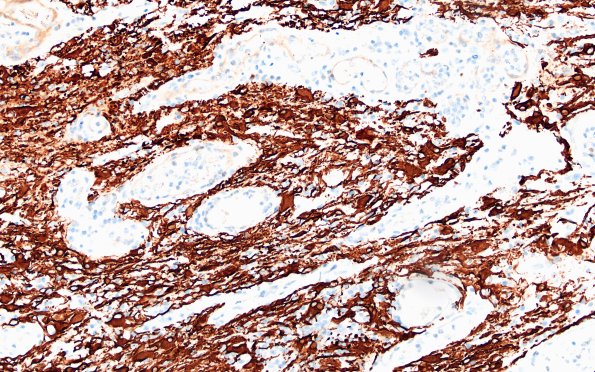
6C3Nasal glioma (Case 6) A1 GFAP 20X
Higher magnification of the glial islands showing astrocytes and their processes. (GFAP IHC)
Image Info
Camera Maker:
Olympus
Camera Model:
DP74
Shutter Speed:
13/10000 sec
Metering Mode:
Multi-Spot
Gallery RSS
|
Archive View
|
Login
|
Powered by
Zenphoto