Table of Contents
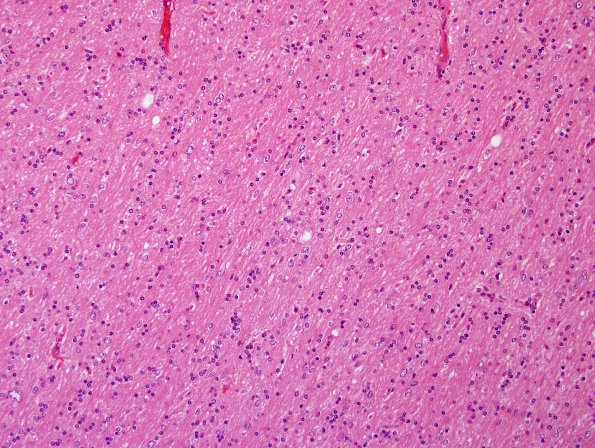
Washington University Experience | DEVELOPMENTAL MALFORMATIONS | Focal Cortical Dysplasia (FCD) | 0 Microdysgenesis | 5A1 Microdysgenesis (Case 5) H&E WM 4
A rather cellular white matter appears otherwise unremarkable at relatively low magnification (H&E).
