Table of Contents
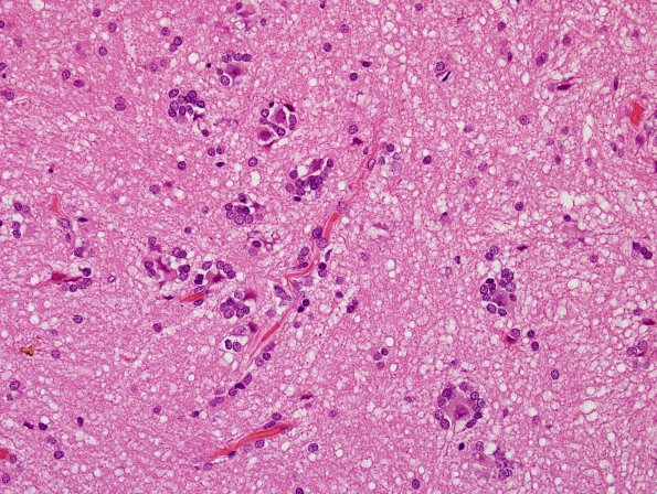
Washington University Experience | DEVELOPMENTAL MALFORMATIONS | Focal Cortical Dysplasia (FCD) | 0 Microdysgenesis | 5A6 Microdysgenesis (Case 5) H&E 1
Neurons are richly surrounded by satelliting glia, perhaps in larger than expected number in some cortical resections for epilepsy (H&E).
