Table of Contents
Washington University Experience | DEVELOPMENTAL MALFORMATIONS | Hemimegalencephaly | 6B2 Malformation, neuronal, hemihypertrophy (Case 6) H&E 3
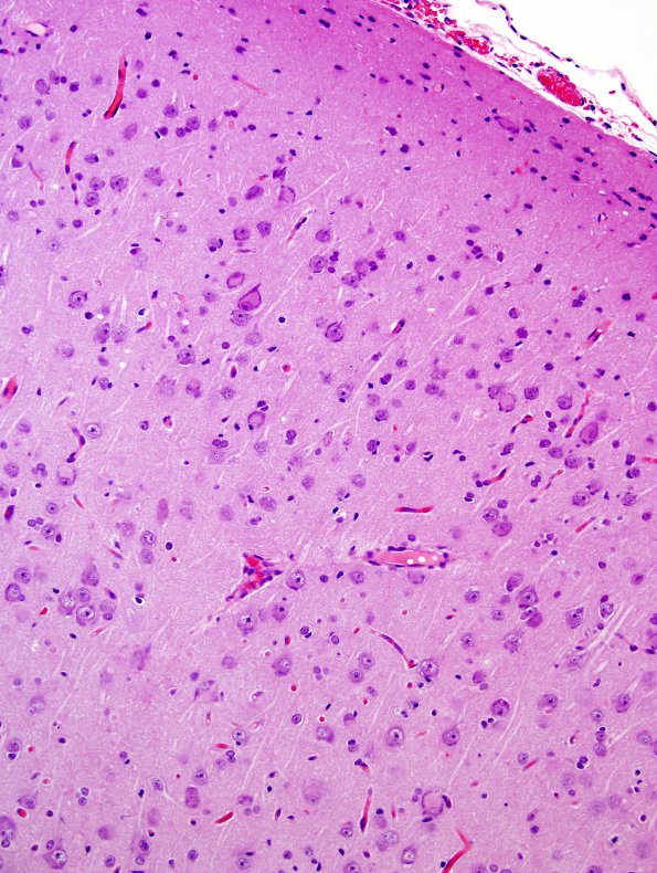
The cortical neurons are diffusely and distinctly abnormal in appearance and for most parts lack a distinctive laminar configuration. Their dysmorphism is characterized by large size, variability staining characteristics of their cytoplasm, variable shapes with abnormal processes and variable amounts and distribution of Nissl substance. There is blurring of the gray-white junction, extension of numerous neurons in the superficial white matter, and focally increased neurons in the most superficial layer. (H&E)
