Table of Contents
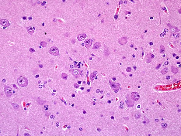
Washington University Experience | DEVELOPMENTAL MALFORMATIONS | Hemimegalencephaly | 6B5 Hemimegalencephaly (Case 6) H&E 1
Higher magnification of the hemimegalencephalic cortex demonstrates the unusual clumped appearance of these cortical neurons. (H&E)
