Table of Contents
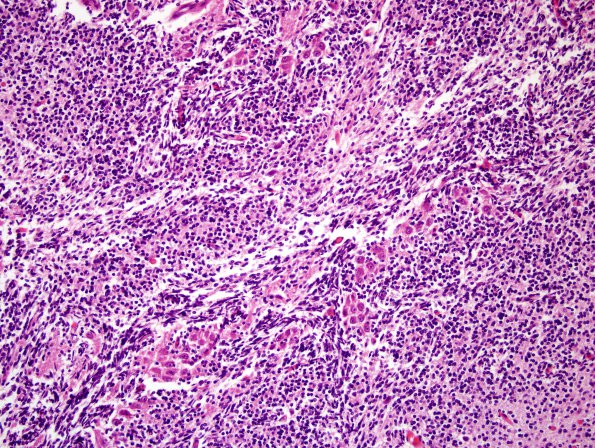
Washington University Experience | DEVELOPMENTAL MALFORMATIONS | Malformation - Cerebellum | 10A3 Cerebellum, Complex malformation (Case 10) 5
Area of arrows in image 10A1 shows dense collections of immature granule cells (H&E)
