Table of Contents
« prev
next »
Washington University Experience
|
DEVELOPMENTAL MALFORMATIONS
|
Malformation - Cerebellum
|
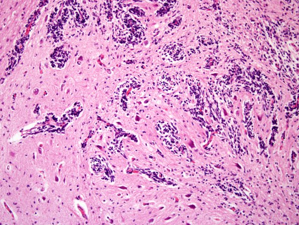
10A5 Cerebellum, Complex malformation (Case 10) 6
Wispy collections of immature granule cells (H&E)
Image Info
Camera Maker:
Olympus Corporation
Camera Model:
DP70
Original Time Taken:
04-04-2017
Shutter Speed:
1/3000 sec
ISO Sensitivity:
200
Metering Mode:
Spot
Gallery RSS
|
Archive View
|
Login
|
Powered by
Zenphoto