Table of Contents
Washington University Experience | DEVELOPMENTAL MALFORMATIONS | Malformation - Cerebellum | 13A2 Cerebellar cortical Dysplasia (Case 13) 1
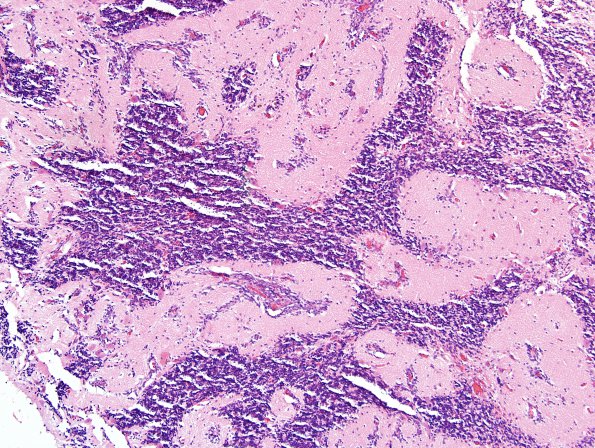
Higher magnification of the cortex shows abnormal organization although the elements of the normal cerebellar cortex are present and mimic the normal cerebellar cortical orientation (H&E)
