Table of Contents
« prev
next »
Washington University Experience
|
DEVELOPMENTAL MALFORMATIONS
|
Malformation - Cerebellum
|
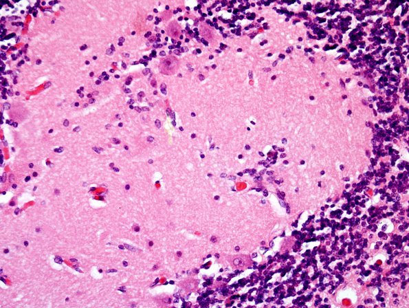
13A4 Cerebellar cortical Dysplasia (Case 13)8
Higher magnification of the 13A3 image shows abnormal organization (H&E)
Image Info
Camera Maker:
Olympus Corporation
Camera Model:
DP70
Original Time Taken:
04-04-2017
Shutter Speed:
1/480 sec
ISO Sensitivity:
200
Metering Mode:
Spot
Gallery RSS
|
Archive View
|
Login
|
Powered by
Zenphoto