Table of Contents
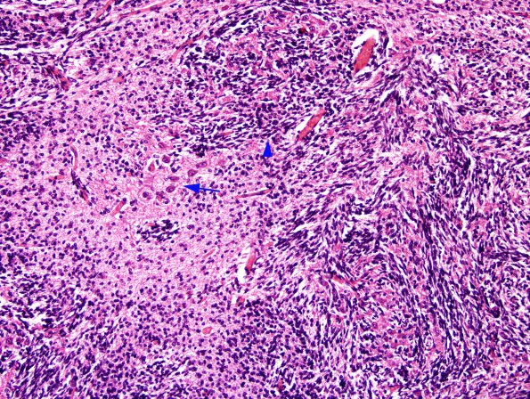
Washington University Experience | DEVELOPMENTAL MALFORMATIONS | Malformation - Cerebellum | 5A4 Cerebellar Dysplasia (Case 5) Trisomy 13
In addition to heterotopia in the frontal lobe, the cerebellum shows collections of poorly organized dysplastic mixed cell rests containing mature neurons (arrow) and immature neuroepithelial cells (arrowhead, which has also been called "heterotaxia" of Brun). (H&E)
