Table of Contents
Washington University Experience | DEVELOPMENTAL MALFORMATIONS | Malformation - Cerebellum | 5A5 Cerebellar dysplasia (Case 5) 7
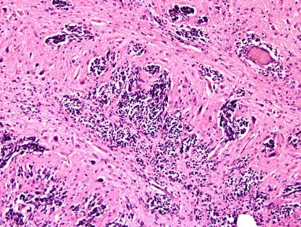
Immature cell collections are also scattered in small collections interspersed between neurons of the dentate nucleus which may represent ectopic granule cell collections (H&E).
