Table of Contents
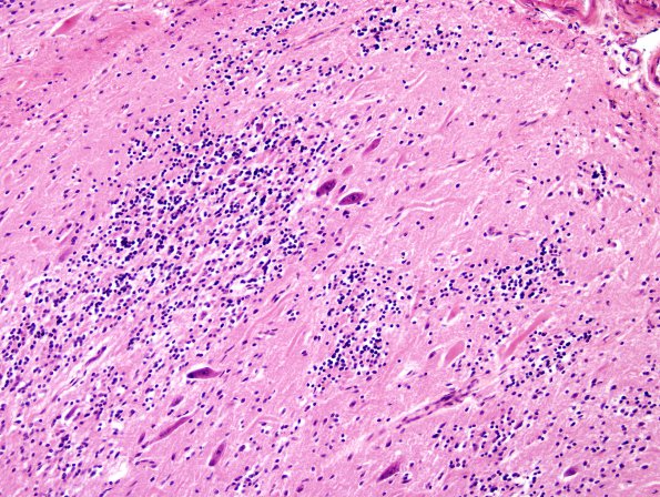
Washington University Experience | DEVELOPMENTAL MALFORMATIONS | Malformation - Cerebellum | 6A3 Dysplasia, cerebellum (Case 6) H&E 1
Both Purkinje and granule cells form in largely organized islands mimicking the normal cortex (H&E)
