Table of Contents
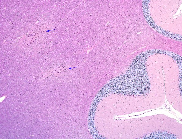
Washington University Experience | DEVELOPMENTAL MALFORMATIONS | Malformation - Cerebellum | 7A1 Heterotopia with globules, cerebellum (Case 7) H&E 3
7A1-4 Heterotopia (arrows) in cerebellar white matter form collections of neurons and unusual tiny polyglucosan-like bodies, seen at higher magnifications in #7A2-4 (H&E)
