Table of Contents
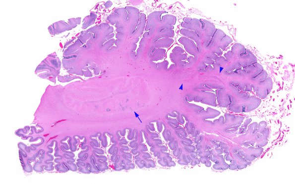
Washington University Experience | DEVELOPMENTAL MALFORMATIONS | Malformation - Cerebellum | 8A1 Heterotopia, cerebellum (Case 8) H&E whole mountA
The cerebellar hemispheres had several forms of maldevelopment including collections of wispy immature granule cell collections involving the otherwise normal dentate nucleus (arrow) and heterotopia (arrowhead)
