Table of Contents
Washington University Experience | DEVELOPMENTAL MALFORMATIONS | Meningioangiomatosis | 2A4 Meningioangiomatosis (Case 2) 6
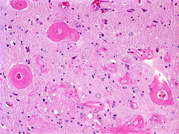
Although the vessels occasionally have an amorphous look to their walls, they do not contain amyloid (H&E).
