Table of Contents
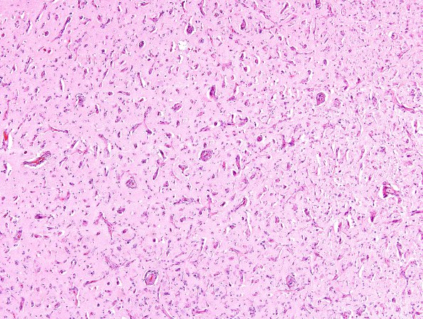
Washington University Experience | DEVELOPMENTAL MALFORMATIONS | Meningioangiomatosis | 3A1 Meningioangiomatosis (Case 3) H&E 5A
Case 3 - Eleven year old child with primary brain tumor and incidental meningioangiomatosis. In this case there are numerous channels which have lesser degrees of collagenous thickening (H&E).
