Table of Contents
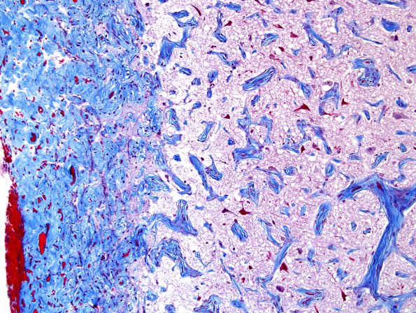
Washington University Experience | DEVELOPMENTAL MALFORMATIONS | Meningioangiomatosis | 4B3 Meningioangiomatosis (Case 4) trichrome 2
Prominent collagenous contribution including the leptomeningeal surface which is on the left of the image. (LFB-PAS)
