Table of Contents
« prev
next »
Washington University Experience
|
DEVELOPMENTAL MALFORMATIONS
|
Meningioangiomatosis
|
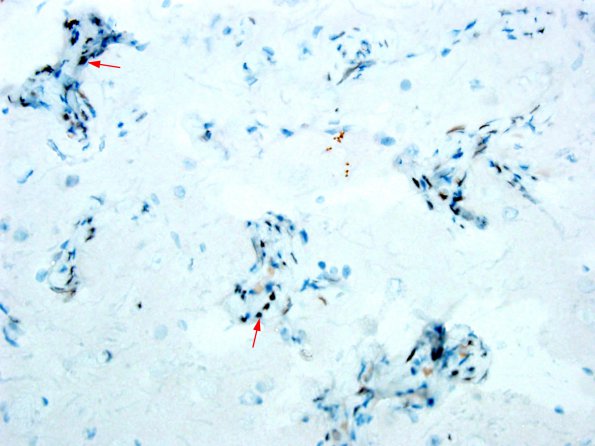
4B4 Meningioangiomatosis (Case 4) PR 1A
Occasionally meningeal elements stain with antibody to progresterone receptor (arrow, PR IHC)
Image Info
Camera Maker:
Olympus
Camera Model:
DP72
Shutter Speed:
1/56 sec
Metering Mode:
Spot
Gallery RSS
|
Archive View
|
Login
|
Powered by
Zenphoto