Table of Contents
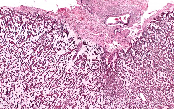
Washington University Experience | DEVELOPMENTAL MALFORMATIONS | Meningioangiomatosis | 7H2 Meningoangiomatosis (Case 7) Retic 4X
The series of images shows an unusual pattern of reticulin in meningioangiomatosis, broadly staining the fibrous coarse trabeculae as well as delicate processes in the superficial cortex which may reflect the elements of the Virchow-Robin spaces. (reticulin)
