Table of Contents
Washington University Experience | DEVELOPMENTAL MALFORMATIONS | Tuberous Sclerosis | 16A1 TS & SEGA (Case 16) FLAIR WA - Copy copy
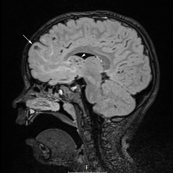
Case 16 History ---- The patient is a 4yo female with intractable epilepsy and tuberous sclerosis. Her seizures consist of focal episodes that occur 5-10 times per day. She typically stops activity, stiffens, and head or eyes turn to the left. Her current medications include clobazam, topiramate, and keppra. A recent vEEG and MRI, determined that her seizures were most likely originating from the region of the extensive right frontal dysplasia/tuber. Her case was discussed in the pediatric epilepsy conference and the consensus was to perform a right frontal lesionectomy which would involve resection of the right frontal lobe anterior to the motor strip and possibly including removal of a nearby SEGA. She is active and playful, but her seizures interfere with her school and activity. She was admitted for resection of her right sided lesions. (This is the same case as SEGA Case 21) ---- 16A1 This FLAIR scan shows the cortical epileptogenic tuber (arrow) which was subsequently surgically removed and the right ventricular SEGA (arrowhead).
