Table of Contents



Washington University Experience | DEVELOPMENTAL MALFORMATIONS | Tuberous Sclerosis | 16A2 TS & SEGA (Case 16) T1noC - Copy

16A2 TS & SEGA (Case 16) T1noC - Copy
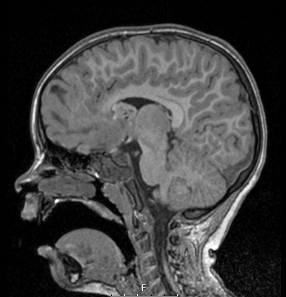
The cortical tuber and SEGA are hypo- and iso-intense, respectfully in this T1-weighted scan.


Gallery RSS RSS Feed | Archive View | Login | Powered by Zenphoto