Table of Contents
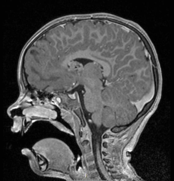
Washington University Experience | DEVELOPMENTAL MALFORMATIONS | Tuberous Sclerosis | 16A3 TS & SEGA (Case 16) T1W - Copy
16A3,4 Neither the tuber nor SEGA enhance on this T1-weighted with contrast, sagittal (16A3) and axial (16A4) scans.
