Table of Contents
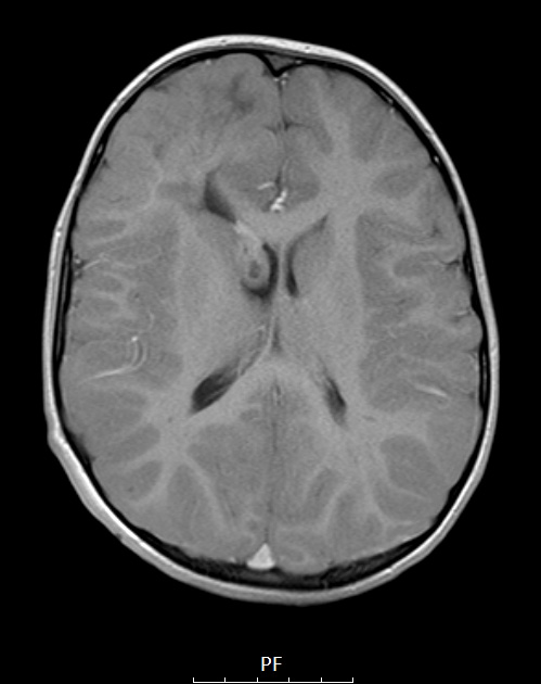
Washington University Experience | DEVELOPMENTAL MALFORMATIONS | Tuberous Sclerosis | 16A4 TS & SEGA (Case 16) T1W axial A - Copy
Neither the tuber nor SEGA enhance on this T1-weighted with contrast, sagittal (16A3) and axial (16A4) scans.
