Table of Contents
Washington University Experience | DEVELOPMENTAL MALFORMATIONS | Tuberous Sclerosis | 16A5 TS & SEGA (Case 16) T2W A - Copy
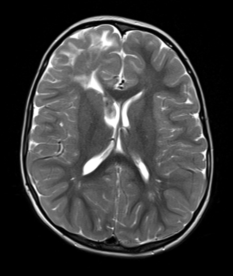
The frontal tuber and ventricular SEGA are hyperintense and isointense respectively on T2-weighted scans.
