Table of Contents
« prev
next »
Washington University Experience
|
DEVELOPMENTAL MALFORMATIONS
|
Tuberous Sclerosis
|
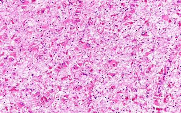
16B11 Tuber (Case 16) H&E 20X 2
Higher magnification images show numerous dysplastic astrocytes with dense Rosenthal fibers. (H&E)
Image Info
Camera Maker:
Olympus
Camera Model:
DP74
Shutter Speed:
10/10989 sec
Metering Mode:
Multi-Spot
Gallery RSS
|
Archive View
|
Login
|
Powered by
Zenphoto